Uday Bondi

I am a final year undergraduate student at the Indian Institute of Technology Madras, where I work on deep learning for medical image analysis under the supervision of Prof. R Krishna Kumar.

I am currently working on Super Resolution of medical images under the guidance of Prof. Jinman Kim and Prof. R Krishna Kumar. Previously, I worked as an undergraduate researcher at the Advanced Geometric Computing Lab on sketch simplification with Prof. M Ramanathan Muthuganapathy. In the summer of 2019, I was fortunate to work at BMIT research group in School of Computer Science, The University of Sydney under the guidance of Prof. Jinman Kim and Dr. Ralph Nannan.

Email  /  CV  /  Biography  /  Google Scholar  /  LinkedIn

profile photo
Research

I'm interested in deep learning, machine learning and computer vision. Much of my current research is about developing learning based computer vision techniques to problems from medicine and other domains.

A Delaunay triangulation based approach for cleaning rough sketches
Amal Dev Parakkat, Uday Bondi Pundarikaksha, Ramanathan Muthuganapathy
Elsevier Computers and Graphics, Special Issue on SMI 2018
Best Paper Honorable Mention Award

A sketch simplification algorithm that converts rough raster hand drawn sketches to simplified vector strokes.

An interactive assistant for sketching and shading
Amal Dev Parakkat, Sarang A. Joshi, Uday Bondi Pundarikaksha, Ramanathan M.
The symposium on Computational Aesthetics, Sketch-Based Interfaces and Modeling, Non-Photorealistic Animation and Rendering, Expressive 2017

A proof of concept for an augmented reality system that users in drawing and shading an input sketch.

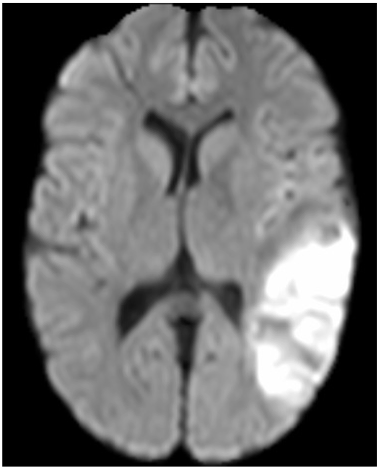
Parallel Capsule Net for Ischemic Stroke Segmentation
MD Sharique, Uday Bondi Pundarikaksha, Pradeeba Sridar, R S Ramakrishnan, R Krishnakumar
Pre-print on bioRxiv

A novel neural network architecture, Parallel Capsule Net (PCN) for segmentation of Ischemic Stroke.

Projects
Coming Soon!

Thank you Dr. Jon Barron for this beautiful template.